Primary Antibodies
Secondary Antibodies
Antibody Panels
Clonality
Host
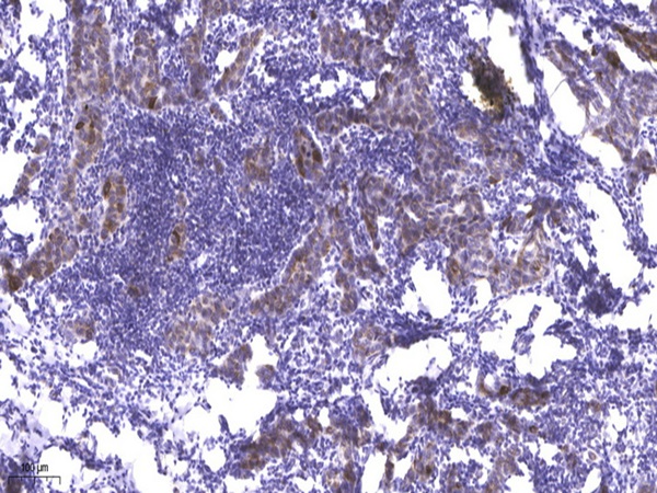
Applications
Reactivity
Conjugate
Catalog #: EAB11258
Host / Isotype: Rabbit IgG
Application: WB, IHC-P, ELISA
Reactivity: Human, Mouse, Rat
Conjugate: Unconjugate
Catalog #: EAB11259
Application: WB, IHC-P
Catalog #: EAB21520
Application: WB, IHC-P, IF/ICC, FC
Catalog #: EAB11256
Application: WB, IHC-P, IF/ICC, ELISA
Reactivity: Human, Mouse
Catalog #: EAB11261
Application: WB, IF/ICC, ELISA
Catalog #: EAB11260
Catalog #: EAB22700
Host / Isotype: Mouse IgG2b
Reactivity: Human
Catalog #: EAB11445
Host / Isotype: Mouse IgG1
Application: WB, IHC-P, IF/ICC
Catalog #: EAB11444
Reactivity: Mouse, Rat